Why Some People Fail to Respond to Potentially Dangerous Drops in Their Blood Sugar

Why Some Type 1 Diabetics Miss Low Blood Sugar Cues

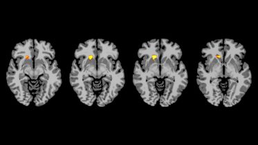
The brains of people with type 1 diabetes react differently to low blood sugar compared with healthy adults, say Yale researchers. The findings of their...

The post Why Some People Fail to Respond to Potentially Dangerous Drops in Their Blood Sugar appeared first on SciTechDaily.



from SciTechDaily http://ift.tt/2BRqLNY
via IFTTT
Previous
Next Post »

StatCounter